Kanser Hastaları Yapay Yumurtalıklarla Çocuk Sahibi Olabilecek Mi?

Yeni yöntem kemoterapi, radyoterapi gibi kanser tedavisi görenlerin yapay yumurtalıklarla gebe kalabilmelerinin önünü açıyor.

Bilim insanları, kanser tedavisi ve doğurganlığa zarar veren diğer tedaviler sonrası kadınların çocuk sahibi olabilmelerine yardımcı olacak "yapay yumurtalık" üretiminde ilerleme kaydetti. Yapay yumurtalığın 3-4 yıl içinde insanlarda da denenmesi bekleniyor.

Avrupa İnsan Üremesi ve Embriyoloji Topluluğu'nda tanıtılan araştırmada Danimarkalı doktorlar, yumurtalıklardan aldıkları parçaların yapılarını, daha sonra gebe kalmak isteyen kadınlara nakledilecek şekilde değiştirdi.

Uzmanlar bu yöntemin "heyecan verici" olduğunu ama insanlarda test edilmeden kesin bir başarıya ulaştığını söylemenin zor olduğunu söylüyor.

Kanser tedavilerinde başvurulan kemoterapi ve radyoterapi yöntemleri genellikle kadınların yumurtalıklarına zarar verip, kısırlığa neden olabiliyor.

Kadınlar, yumurtalık dokusu nakliyle de gebe kalabiliyor. Bu yöntemde yumurtalığın bir kısmı alınıyor ve zarar görmeden donduruluyor, gebe kalınmak istendiğinde kullanılıyor.

Ama kanser hastalarından alınan yumurtalık dokusunda da kanser hücreleri bulunabilir, bu da nakil yaptıktan sonra hastalığın yeniden nüksetmesi riskini artırır.

Her ne kadar "düşük" bir risk olsa da, lösemi ve rahim ağzı kanseri gibi rahatsızlıkları olanlara yumurtalık nakli genelde önerilmiyor.

'Doku iskeleti' yöntemi

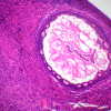
Kopenhag Rigshospitalet'teki doktorlar bu riski en aza indirmek için kanser tedavisi görecek hastalardan yumurtalık foliküllerini ve yumurtalık dokularını aldı.

Daha sonra yumurtalık dokularından kanserli hücreleri temizledi ve geride yalnızca protein ile kolajenden yapılan "doku iskeletini" bıraktı.

Farelerde yumurtalık hücreleri kurtarıldı ve büyüdü

Bilim insanları yumurtalık dokusundan yapılan iskeletinde yumurtalık folikülleri geliştirdi.

Yapay yumurta farelerde denendi. Denemede yumurtalık hücrelerinin kurtarıldığı ve büyüdüğü görüldü.

Uzmanlar, 'bu heyecan verici' tekniğin insanlarda da denenmesi gerektiğini ve diğer doğurganlık tedavilerinde de avantajları olabileceğini söyledi.

Londra Hammersmith Hastanesi'nde görevli danışman jinekolog Stuart Lavery, yumurtalık dokusu nakliyle, kadınları "doğal yöntemlerle" hamile bırakabilecek binlerce yumurtaya sahip olunduğunu ifade etti.

Tüp bebek yönteminde ise yumurta laboratuvarda dölleniyor ve daha sonra rahme yerleştiriliyor.

Midlands Üreme Hizmetleri Kliniği'nden Dr. Gillian Lockwood, yumurtalık dokusu naklinin bir diğer avantajının da, kadınların bedenlerine zarar veren tedaviler sonrası yeniden regl dönemine dönebilmeleri ve böylece hormon replasman tedavisine ihtiyaç duymaları olduğunu söyledi.