Toplum olarak diş sağlığı konusunda sınıfta kaldığımız çok açık. Yapılan araştırmalar ve sonuçları gösteriyor ki düzenli diş bakımını ihmal ediyor, doktora gitme konusunu atlıyor ve hatta birçoğumuz dişlerimizi fırçalamıyoruz. Oysa önemsenmeyen ağız ve diş sağlığı, sadece estetik kaygıları değil, birçok hastalığı da beraberinde getiriyor. Özellikle de diş taşı oluşumunun ilk sebebi olan ihmalkarlığımız zamanda daha ağır sonuçlar yaratıyor.
DİŞ TAŞI OLUŞUMUNUN İLK SEBEBİ ÖNEMSEMEDİĞİMİZ DİŞ BAKIMIMIZ…
Rutin olarak yapılmayan ağız bakımının sebep olduğu en yaygın problem diş taşları ya da bilinen adıyla dişte kireçlenme problemi. Üstelik şöyle bir kısır döngü var ki, doğru yapılmayan ağız bakımı diş taşına sebep olurken diş taşları da başka hastalıklara davetiye çıkarıyor. Bunun da sebebi ağızda bulunan saydam ve yapışkan bir tabaka olan diş plağıdır. Günde iki kez fırçalama olmadığı takdirde saydam ve yapışkan olan diş plağı tükürükle beraber karışarak diş yüzeyine yapışır. Diş yüzeyinde sert ve pütürlü bir tabaka oluşur. Bu tabaka ise diş taşı olarak bilinen tartardır ve doktor müdahalesi olmadan geçmesi mümkün değildir.
TÜKÜRÜKLERİN DİŞ TAŞI OLUŞUMUNU HIZLANDIRDIĞINI BİLİYOR MUYDUNUZ?
Tükürüğün içinde bulunan kalsiyum ve fosfat iyonları bakteri plağının etkisiyle yapışarak zamanla dişte bir tabaka oluşmasına sebep olur. Bir de bunlara doğru yapılmayan ağız bakımı da eklenince diş taşlarının oluşması kaçınılmaz oluyor. Üstelik oluşan taşlar geçirgen, sert ve pürüzlü bir yapıda olduğu için diş plağı sürekli yapışacaktır. Bu yüzden diş taşı temizliği asla ihmal edilmemesi gereken ciddi bir diş problem olduğu unutulmamalıdır.

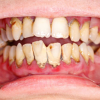
DİŞ TAŞLARI ÖNEMSENMEDİĞİNDE SONUÇLARI AĞIR OLABİLİR
Diş taşları yarattığı görüntüyle bir estetik bir kaygı yaratırken aynı zamanda uzun vadede daha ağır sağlık sorunlarına yol açabilir. Örneğin;
Diş eti çekilmeleri artar.
Diş araları açılır.
Diş çürümelerinin önü açılır.
Diş iltihapları meydana gelir.
İltihaplı bölgelerde kanama ve kötü koku meydana gelir.
Diş kayıpları yaşanabilir.
Bu yiyecekler diş taşı oluşumunu tetikliyor…
Kalsiyum, fosfor, bikarbonat, proteinler,
Şekerli yiyecekler,
Asitli ve kafeinli içecekler,
Karbonhidratlar ve nişastalı gıdalar,
Yumuşak gıdalar,
Diş taşı temizliği nasıl yapılır?
Özel ultrasonik cihazlar yardımıyla ve yüksek frekansta titreşim vererek diş taşlarının yok edildiğini belirten Diş Hekimi ve Protez Uzmanı Çağdaş Kışlaoğlu, görüşlerini şu sözlerle sürdürüyor; "Diş eti içinde oluşan subgingival diş taşlarının temizliğinde, detartraj ve diş eti küretajı yapılmaktadır. Diş eti küretajı, diş eti içindeki sağlıksız dokunun alınması işlemidir. Bu işlem, ağız ve diş sağlığı için altı ayda bir yapılmalıdır. Her kişinin diş yapısı ve ağız bakımı ihtiyacı farklı olduğu için, bazı kişilerde bu işlemin daha sık uygulanması gerekebilmektedir. Diş eti seviyesinin üzerinde oluşan diş taşları, diş eti cebinde oluşan diş taşlarına oranla daha hızlı ilerlemektedir. Bu nedenle, daha sık temizlenmesi uygun olacaktır. Detartraj işleminde, ultrasonik cihazlar kullanılarak, diş üzerinde oluşan kalın plak tabakası yok edilmektedir. Kişiler, diş taşlarıyla birlikte estetik kaygılarından da uzaklaşarak, öz güvenli bir gülüşün tadını çıkarabilmektedir."