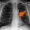
Kanser Ölümlerinde Akciğer Birinci Sırada

Dünya Sağlık Örgütü'nün 2015 yılı Şubat ayında yayınladığı verilere göre, dünyada 8 milyon 200 bin olan kanser ölümlerinde 1 milyon 590 bin vakayla akciğer kanseri ilk sırayı aldı Akciğer kanserini karaciğer, mide, kalın bağırsak, meme ve yemek borusu kanserleri izledi Kanserden ölümlerin üçte birine neden olarak yüksek beden kitle indeksi, yetersiz meyve sebze tüketimi, fiziksel aktivite yetersizliği, alkol ve tütün kullanımı gösterildi.

EFSUN YILMAZ - Dünya Sağlık Örgütü'nün (DSÖ) 2015 yılı Şubat ayında yayınladığı verilere göre, dünyada 8 milyon 200 bin olan kanser ölümlerinde 1 milyon 590 bin vakayla akciğer kanseri ilk sırayı aldı.  DSÖ'nün resmi internet sitesinde yayınlanan verilerden AA muhabirinin derlediği bilgilere göre, 2012 yılında da kanser vakaları en büyük hastalık ve ölüm nedenleri arasında yer aldı.  Dünyada 14 milyon yeni kanser vakasına rastlanırken, 8 milyon 200 bin ölümün de kanserden kaynaklandığı belirlendi.  Erkekler arasında en sık rastlanan 5 kanser türü akciğer, prostat, kalın bağırsak, mide ve karaciğer türleri olurken, kadınlarda ise en sık olarak sırasıyla meme, kalın bağırsak, akciğer, rahim ağzı ve mide kanserleri görüldü.  Üçte birinin nedeni davranış ve beslenme  Rapora göre, kanserden ölümlerin üçte 1'ine yüksek beden kitle indeksi, yetersiz sebze ve meyve tüketimi, fiziksel aktivite eksikliği, tütün ve alkol kullanımı gibi davranmış ve beslenme sorunları gösterildi.  Tütün kullanımı en büyük risk faktörü olarak belirlenirken, tüm kanser türlerinden ölümlerin yüzde 20'sine, akciğer kanserlerinden ölümlerin ise yüzde 70'ine sebep oldu.  Kanser sebebi Hepatit B gibi viral enfeksiyonlar da düşük ve orta gelirli ülkelerdeki kanser ölümlerinin yüzde 20'sine neden olarak gösterildi.  Akciğer kanseri ilk sırada Yeni kanser vakalarının yüzde 60'ından fazlası Afrika, Asya, Orta ve Güney Amerika'da görüldü. Bu bölgelerde kanserden ölüm oranı ise lerin yüzde 70. Genel kanser ölümlerinde de 1 milyon 590 bin ölümle akciğer kanseri ilk sırada yer aldı. Akciğer kanserini 745 bin ölüm sayısıyla karaciğer, 723 bin ölüm sayısıyla mide, 694 bin ölüm sayısıyla kalın bağırsak, 521 bin ölüm sayısıyla meme, 400 bin ölüm sayısıyla da yemek borusu kanserleri izledi.  Yıllık 14 milyon olan kanser vakalarının 20 yıl içinde 22 milyona yükseleceği tahmin ediliyor. - İzmir