Dr. İbrahim Ocak: "Su diyeti ölüme sebep olabilir"

Dr. İbrahim Ocak: "Su diyeti ölüme sebep olabilir"BURSA Göğüs Hastalıkları Uzmanı Dr. İbrahim Ocak, son dönemde sosyal medyadan görerek uygulanan su diyeti gibi diyetlerin ölüme davetiye çıkardığını söyledi.

Dr. İbrahim Ocak: "Su diyeti ölüme sebep olabilir"
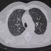
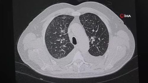
BURSA Göğüs Hastalıkları Uzmanı Dr. İbrahim Ocak, son dönemde sosyal medyadan görerek uygulanan su diyeti gibi diyetlerin ölüme davetiye çıkardığını söyledi. Diyetisyen Meltem Yavaş ise diyetlerin parmak izi gibi kişiye özel olduğunun unutulmaması gerektiğini ifade etti. Bursa'da eşinin uyguladığı su diyetini kendi de uygulamak isteyen kişi, hızlı kilo verdiğine sevinirken hayatını kaybediyordu. 2 ay önce başladığı diyetin kilo haricinde vücudundaki değişimleri fark edemeyen kişi, fenalaşması üzerine hastaneye kaldırıldı. Yapılan incelemelerin ardından tedaviye başlanan hasta, hayati tehlikeyi atlattı. Hastaya müdahaleyi yapan VM Medical Park Bursa Hastanesi Göğüs Hastalıkları Uzmanı Dr. İbrahim Ocak, "Son bir hafta içinde iki hastam acil bölümünden geldi. Biri yaygın kemik ve eklem ağrıları, halsizlik, yoğun kırgınlık, kandaki oksijen yüzdesi yüzde 74'lere kadar inmiş bir haldeydi. Acilde hastayı değerlendirdikten sonra tomografi ve kan tahlili yaptık. Kan tahlillerinde ürekratin elektrolit dengesinin çok değişmiş olduğunu gördük. Neredeyse tüm vücudunun elektrolitleri değişmiş ve zararlı düzeye gelmişti. Çektiğimiz tomografide de akciğerde ploraze dediğimiz sıvı birikmesi olmuş, kalp enzim değerleri artmış ve enfeksiyon değerleri yükselmişti. Niçin böyle olduğunu öğrenmeye çalışırken, hasta yaklaşık 2 aydır su diyeti yaptığını söyledi. Nasıl uyguladığını sorduğumda ise, 'Su içiyorduk. Günde 3 öğün, maydanoz, dereotu, roka gibi sadece sebze ağırlıklı beslendik' dedi. Hastamızı yatırdık, tedavisine başladık. Diyetini kestik ve normal beslenmeye geçtik. 3-4 gün içerisinde toparladı. Durumu şimdi daha iyi. Bende su diyetinin sosyal medyada reklamını görmüştüm. Hatta kendi hesabımda 'bu şarlatanlıktır, bu doğru değildir' yazdım. Orada eleştirilere de uğradım. Ama hala aynı şeyi söylüyorum" dedi. "Her hastama diyeti bende tavsiye ediyorum" Su diyetinde bireylere sadece su içirip sebze ağırlıklı beslenme yapıldığını ifade eden Uzm. Dr. Ocak, "Bu 2, 3 veya 5 ay sürebiliyor. Bazı kişilerde olumsuz bir durum gözükmeyebiliyor. Tabi ki aç kalmaya bağlı insanlar yoğun kilo verebiliyor. Diyetisyenlik bölümü diye bir gerçek var. Sadece bu işe bakıyorlar. Diyet sanıldığı gibi kolay bir şey değildir. Muayene yapmadan, incelemeden rastgele diyet uygulanması doğru değildir" diye konuştu. Diyetisyen Meltem Yavaş ise, "Su diyetleri veya farklı isimlerle anılan diyetleri sosyal medyada sıkça duymaktayız. Fakat sağlıklı zayıflamada bunların yeri katiyen yoktur. Sağlıklı zayıflama diyetlerinde bizler kişinin ihtiyaçlarına göre matematiksel hesaplamalarla kişiye göre diyet listeleri oluşturuyoruz. Herkesin diyeti aslında 'parmak izi' gibi diyebiliriz. Yapılan su diyetleri, lahana diyetleri kişinin vücudunda ciddi rahatsızlıklara sebep olabilir. Kısa sürede vitamin mineral yetersizliklerine bağlı aslında katlanılabilir rahatsızlıklar olsa da, uzun vadede organ hasarlarına kadar yol açabilir. Geri dönüşü olmayan sorunlarla karşılaşılabiliyor. Örneklerini çok fazla görüyoruz. Çevremizde çok uçuk fiyatlarla hiç alakası olmayan, beslenmeyle ilgili hiç eğitim almamış kişiler, kendisine inana kişilere aslında sıvı besinler, detox programları uyguluyorlar. Biz her defasında söylüyoruz, katiyen kullanılmamalı" dedi.