Daha az acı ve kesiyle yapılan bypass yöntemi: Minimal İnvaziv

- Daha az acı ve kesiyle yapılan bypass yöntemi: Minimal İnvaziv Bu yöntem hastanın günlük hayatına daha hızlı dönmesine olanak sağlıyor 1970'li yıllardan beri uygulanan klasik ve güvenli bir tedavi yöntemi olan koroner bypass cerrahisi, gelişen teknolojiyle beraber daha az acı ve kesikle...

- Daha az acı ve kesiyle yapılan bypass yöntemi: Minimal İnvaziv Bu yöntem hastanın günlük hayatına daha hızlı dönmesine olanak sağlıyor
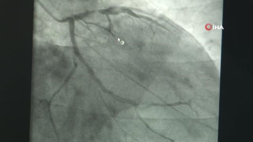
SAKARYA - 1970'li yıllardan beri uygulanan klasik ve güvenli bir tedavi yöntemi olan koroner bypass cerrahisi, gelişen teknolojiyle beraber daha az acı ve kesikle gelişmiş operasyon imkanı sunuyor. Klasik yöntemin yanı sıra hastaya ameliyat sonrasında daha fazla konfor sağlayabilen minimal invaziv bypass yöntemi hakkında Kalp Damar Cerrahi Op. Dr. Murat Güçlü Elevli bilgilendirdi. İnsanlarda en sık görülen sağlık sorunların başında gelen koroner arter hastalığı 1970'li yıllardan beri klasik ve güvenli bir yöntem olarak görülen koroner bypass cerrahisi ile tedavi ediliyor. Teknolojinin gelişmesiyle ivme kazanan sağlık sektöründe de yeni tedavi yöntemleri geliştiriliyor. Teknolojinin katkılarıyla klasikleşmiş olan ameliyatların yerine; daha az kesilerle, hastaların canını daha az yakacak lokal bölgelere müdahaleler yapılıyor. Bu çerçevede göğüs kemiği kesilmeden bypass olanağı ise daha az kesi ile minimal invaziv yöntemi ile gerçekleştiriliyor. Özel Adatıp Hastanesi Kalp Damar Cerrahi Op. Dr. Murat Güçlü Elevli, 1980'li yıllarda Amerika'da ortaya çıktıktan sonra uzun bir süre popülerliğini yitiren ve daha az kesi ile yapılan mimimal invaziv koroner bypass ameliyatının uzun yıllar sonra tekrardan gündeme geldiğini söyledi. Bu konuda öncülerden biri olan Ukraynalı cerrah Prof. Dr. Oleksandr Babliak'ın kliniğine giderek tekniği öğrendiğini aktaran Elevli, bu ameliyatın her hastaya yapılmadığını, tetkikler neticesinde uygun görülen hastalarda yapıldığını aktardı. "Teknolojinin katkılarıyla bazı müdahale olanaklarımız ortaya çıkmaya başladı" Teknolojinin gelişmesiyle birlikte sektörün de geliştiğini belirten Özel Adatıp Hastanesi Kalp Damar Cerrahi Op. Dr. Murat Güçlü Elevli, "Koroner arter hastalıkları en sık görülen sağlık sorunlarından bir tanesi. Bu hastalıkların tedavisinde de koroner bypass cerrahisi 70'li yıllardan beri uygulanan klasik ve gayet güvenli bir tedavi yöntemi. Fakat tabi her şey durduğu yerde durmuyor, teknoloji ilerliyor. Bu ilerlemeyle birlikte sağlık hizmetlerinde de koroner bypass cerrahisinde de yeni gelişmeler var. Teknolojinin katkılarıyla artık klasikleşmiş olan ameliyatların yerini daha az kesilerle, hastanın canını daha az yakacak şekilde bazı müdahale olanaklarımız ortaya çıkmaya başladı. Diğer yöntemde olduğu gibi buda açık kalp ameliyatı şeklinde geçiyor. Kalp-akciğer makinesine bağlanarak yapılan bütün ameliyatlar açık kalp ameliyatıdır. Dolayısı ile kesi yandan veya önden olmuş bu açık kalp ameliyatı terimini değiştirmiyor. Fakat göğüs kemiğinin kesilmemiş olmasından dolayı, göğüs kafesinin körük mekanizması çokta fazla bozulmamış oluyor ve böylelikle hastaların ameliyattan sonraki dönemdeki konforları çok daha fazla oluyor" dedi. "Kontrollü olmak ve bilimsel verileri takip etmek lazım" Minival İnvaziv bypass cerrahisi hakkında açıklamalarda bulunan Elevli, "Bütün hastalara bu şekilde yaklaşmak çok doğru olmayabilir. Bu teknikler henüz daha yeni ve bunların uzun dönem sonuçları ile ilgili elimizde çokta fazla bir yayın yok. Ama tabi yayın yok diye yapmayalım da olmaz. Dolayısı ile kontrollü bir şekilde daha seçilmiş ve uygun gördüğümüz hastalardan başlayarak bu yöntemi kullanmayı tercih edebiliyoruz. Bizim elimizde bir altın standart yani klasik koroner bypass ameliyatı var. Türkiye'de senede 15 bin civarında hastaya uygulanan ve gayet başarılı sonuçları olan, yüzde 1'in altında ölüm oranları olan, sakatlanma oranları çok düşük olan bir cerrahi yöntem. Bu bizim altın standartımız. Amacımız; küçük kesiyle bypasslarda da aynı kalite ve başarıyı yakalayabilmek. Bunu yaparken biraz temkinli davranıp git gide daha çok hastaya bunu uygulama yolunda gidiyoruz. Ama tabi hep kontrollü olmak ve bilimsel verileri takip etmek lazım" diye konuştu. "Bu yöntemi tetkik ettik ve öğrendik" Uzun yıllar pek fazla popüler olmayan fakat son yıllarda yeniden gündeme gelen yöntemi yerinde öğrendiğini belirten Elevli, "80'li yıllarda aslında ilk Amerika'da ortaya çıkmış olan bu küçük kesiyle bypass yöntemleri bir ara pek fazla yapılmaz hale geldi. Son zamanlarda özellikle Ukrayna Kiev'den ünlü bir cerrah hocamız var; Prof. Dr. Oleksandr Babliak. Onun popülarize ettiği bir yöntem olarak tekrardan ortaya çıktı. Biz de bu bağlamda Ekim ayında, kendisinin Kiev'deki kliniğine konuk olduk. Orada bu yöntemi tetkik ettik ve öğrendik. Döndükten sonra da uygun hastalarımızda bu yöntemi uygulamaya başladık Adatıp Hastanemizde" şeklinde konuştu. "Daha rahat bir yaşam konforu ameliyattan hemen sonra elde edilebiliyor" Yapılan ameliyatın avantajlarından söz eden Elevli, "Klasik bypass ameliyatlarında göğüs kemiği kesilerek ameliyat yapılıyor. Bu da yaklaşık 20-25 santimetrelik bir kemik kırığı anlamına geliyor. Bunun kaynaması da yaklaşık 6 ila 8 haftalık bir süre alıyor. Bu durumda hastanın ameliyattan sonra sağa sola dönme hareketlerinde kısıtlama olabiliyor. Bu da hastanın ameliyat sonrası yaşam konforunu oldukça kısıtlayan, azaltan bir şey. Küçük kesiyle bypass ameliyatları, kaburga arasından ufak bir kesiyle yapıldığı ve göğüs kemiğinin de bütünlüğü bozulmadığı için hem göğüs kafesinin körük mekanizması bozulmamış oluyor böylelikle hastanın nefes alıp vermesinde bazı zorluklar yaşıyorduk bu biraz daha azalmış oluyor hem de hasta istediği gibi sağına soluna dönebiliyor. Daha rahat bir yaşam konforu ameliyattan hemen sonra elde edilebiliyor. Bu da hastanın daha çabuk bir şekilde normal hayatına dönmesine katkıda bulunuyor" ifadelerini kullandı.