Bebeklerde görülen Pnömotoraks mutlaka tedavi edilmeli

Hızlı nefes alma, hırıltılı solunum, soluk veya mavimsi ten rengi gibi belirtiler veren hastalığa yönelik tüm bilinmesi gerekenleri Göğüs Cerrahisi Uzmanı Doç. Dr. Özkan Demirhan anlattı.

Ani gelişen en küçük solunum şikayetleri mutlakaönemsenmeli… Genellikle doğumdan sonraki ilk 24 ila 36 saat içinde ortaya çıkan Pnömotoraks bebek ve yenidoğanlarda tedavi edilmezse ciddi sağlık sorunlarına hatta ölüme yol açabiliyor.

Çocuklarda pnömotoraks nedir?

Akciğerlerden göğüs kafesine hava kaçağı olması ve buna bağlı akciğerin sönmesine pnömotoraks denir. Hava kaçağı aniden başlayabilir veya yavaş gelişebilir. Genellikle doğumdan sonraki ilk 24 ila 36 saat içinde ortaya çıkar. Hastalığın ciddiyeti veya şiddeti, hava kaçağının nereden olduğuna, kaçağın ne kadar hızlı gerçekleştiğine ve ne kadar hava kaçağı olduğuna bağlıdır.

Pnömotoraksa ne sebep olur?

Akciğer sorunu nedeniyle solunum cihazına ( Mekanik ventilatöre) bağlı bebeklerde gelişen pnömotoraks bebeklerdeki pnömotoraksın en yaygın nedenidir. Pnömotoraks nadir de olsa aniden gelişebilir. Diğer bir neden mekonyum aspirasyonudur. Bu, bebeğin anne rahminde olduğu ve ilk dışkısını (mekonyum) soluduğu zamandır. Aspirasyon sonrası akciğerde hava hapsi olur ve akciğerlerin çok fazla havalanmasına bağlı akciğer dokusunun zayıflayarak hasar görmesine bağlı olarak hava kaçağına neden olabilir.

Hangi çocuklar pnömotoraks için risk altındadır?

Pnömotoraks riski taşıyan çocuklar şunlardır:

-Akciğer hastalıklarına bağlı ciddi solunum sıkıntısı olanlar,

-Mekanik ventilatördeki bebekler,

-Akciğer dokusu daha zayıf ve gelişmemiş olan prematüre bebekler,

-Mekonyum aspirasyonu yapmış bebekler.

Bir çocukta pnömotoraks belirtileri nelerdir?

Belirtiler her çocuk için farklı olabilir. Bazı sağlıklı bebeklerde olan pnömotoraks herhangi semptom ve belirti vermeyebilir.

Diğerleri şu semptomlara sahip olabilir:

-Sinirlilik ve huzursuzluk

-Hızlı nefes alma

-Hırıltılı solunum

-Burun deliğinde genişleme

-Çocuk nefes aldığında cilt ve kaslar kaburgaların etrafına çöker (göğüs duvarının geri çekilmesi)

-Soluk veya mavimsi ten rengi

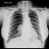
Bir çocukta pnömotoraks nasıl teşhis edilir?

Çocuğun hastalığının hikayesi ve fizik muayene bulguları teşhis için ilk adımdır.

Radyolojik olarak PA Akciğer grafisi ve Bilgisayarlı Tomografi ilk başvurulacak tetkiktir. USG deneyimli ellerde pnömotoraks tanısında yardımcı olur. BT yenidoğanda ve bebeklerde konjenital dediğimiz doğumsal akciğer anomalilerini ayırt etmede bizlere yardımcı olmaktadır. Çünkü konjenital akciğer anormallikleri pnömotoraksa benzer görüntü ile karıştırılabilir deneyimli radyoloji ve göğüs cerrahisi ekibine ihtiyaç duyulabilir.

Bir çocukta pnömotoraks nasıl tedavi edilir?

Tedavi hastanın semptomlarına, yaşına ve genel durumuna ve pnömotoraksın derecesine bağlı olarak değişir.

Asemptomatik yani herhangi bir semptom vermeyen pnömotoraks kendiliğinden iyileşebilir. Yani burada göğüs kafesi içinde bulunan serbest hava vücut tarafından kendiliğinden emilir.

Semptomlara neden olan pnömotoraks için tedavi yöntemleri:

-Oksijen desteği, çocuğa oksijen vermek var olan pnömotoraksın daha hızlı iyileştirmeye yardımcı olur.

Göğüs kafesi içindeki havayı dışarı çıkarmak gerekebilir.

Torasentez yani bir enjektör yardımı ile veya ince bir tüp (kateter)ile hava tahliye edilebilir.

Hava kaçağı bu yöntemlerle kontrol altına alınmaz ise hava kaçağı durana kadar göğüs tüpü uygulanarak kapalı su altı drenaja bağlanabilir.

Buna rağmen hava kaçağı durmaz ise cerrahi yöntemler VATS veya torakotomi yapılması gerekebilir.

Pnömotoraksın olası komplikasyonları nelerdir?

Bebek ve yeni doğanlarda ciddi pnömotoraks tedavi edilmez ciddi sağlık sorunlarına hatta ölüme yol açabilir.