24 Torunlu Elmast Nine, Laparoskopik Cerrahi ile Sağlığına Kavuştu

24 torunlu Elmast nine, laparoskopik cerrahi ile sağlığına kavuştuELAZIĞ - Elazığ'da 8 çocuk annesi ve 24 torun sahibi 71 yaşındaki Elmast Carfi, Laparoskopik cerrahi yöntemi ile sağlığına kavuştu.

24 torunlu Elmast nine, laparoskopik cerrahi ile sağlığına kavuştu

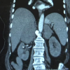
ELAZIĞ - Elazığ'da 8 çocuk annesi ve 24 torun sahibi 71 yaşındaki Elmast Carfi, Laparoskopik cerrahi yöntemi ile sağlığına kavuştu. Elazığ'da 8 çocuk annesi ve 24 torun sahibi 71 yaşındaki Elmast Carfi, halsizlik şikayeti ile hastaneye başvurdu. Tümör taraması yapılan Elmast ninenin böbrek bezlerinde büyüme tespit edildi. Sağ böbrek bezinde 10 ve sol böbrek bezinde 7 santimlik bir büyüme görülen Elmast nine, Elazığ Medical Park Elazığ Hastanesi'nde Laparoskopik cerrahi (kapalı ameliyat) yönetimi ile ameliyat olarak sağlığına kavuştu. 71 yaşında 24 tane toruna sahip olduğunu dile getiren Elmast Carfi, "50 gündür hastanelerde geziyorum. Allah'a şükür bu doktoruma rastladım. Ameliyat yaptılar ve çok iyi geçti. Çok memnunum. O kadar gezdim, kimse ameliyat yapmadı. Hiç gezemiyordum. Lavaboya bile gidemiyordum, şimdi çok iyiyim" dedi. Elmast Carfi'nin genel durum bozukluğu ve halsizlik şikayetiyle başka hastanelere başvuruda bulunduğu belirten Üroloji Uzmanı Op. Dr. Serhat Yentür, "Tümör açısından taranırken her iki böbrek üstü bezinin büyüdüğü fark ediliyor. Sonrasında bize yönlendirdiler. Hormon salgılamayan bir adenom şeklinde büyümesi vardı. Birde hormon salgılayan ve hiç hormon salgılamayan formları var. Böbrek üstü bezlerinden adrenalin, noradrenalin, dopomin, kortizon ve aldosteron dediğimiz vücudun çalışmasıyla ilgili çok önemli hormonların salınıma sebep açar. Bu hastamızda hormonların aşılı salınması veya salınmaması gibi söz konusu değildi. Tamamen adenematoz bir büyüme olduğunu düşünüyoruz. Normalde bu büyüklükteki böbrek üstü bezlerinde açık cerrahi yapılırken, biz bu hastamıza Laparoskopik cerrahi yaptık. Kapalı yöntemle bu hastamızı ameliyat ettik" diye konuştu. Açık ameliyat olmuş olsaydı hastanın her iki yan tarafından en az 12 santimetrelik kesiler oluşacağını vurgulayan Yentür, "Hastamızın vücudunun yarısını kesmiş olacaktık. 3'üncü günden sonra taburcu edilecek duruma geldi. İlaçlarının dozlarını ayarlamaya çalışıyoruz. Onda sonra taburcu edeceğiz. Hasta çok erken sürede ayağa kalkıyor. Yaraları daha çabuk iyileşiyor. Ağrıları ise çok az seviyede oluyor. Normal şartlarda 10 gün kadar yatıp yaraları iyileşene kadar izlememiz lazımken hastamızı 4'üncü gününde taburcu edeceğiz. Normalde böbrek üstü bezleri bir santimetreyken hastamızın sağ 10 santimetre, sol tarafı ise 7 santimetre şeklindeydi" diye bilgi verdi.